
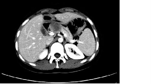
11月28日,胰腺外科李可洲教授完成了我院首例完全腹腔镜胰腺中段切除手术。患者为一名来自于贵州省毕节市的18岁青年女性,患者入院前曾在当地某三甲医院就诊,诊断为胰腺肿瘤,但因医生告知手术风险巨大,要求患者继续观察,故而患者转至我院进一步诊治,我院CT检查提示胰腺实性假乳头状肿瘤可能。李可洲教授充分评估了手术风险,经过全科术前讨论后,拟行腹腔镜手术探查。术中发现胰颈部直径约100px肿瘤,边界尚清楚,活动度尚可。经过历时7小时的全腹腔镜手术治疗,完成了胰腺肿瘤切除,近端胰腺残端封闭,远端胰腺空肠吻合术。术后患者恢复顺利,术后3天排气,进食尚正常,无明显腹痛感,引流管如期拔除,术后7天患者顺利出院。此项手术的成功开展是我院腹腔镜技术的又一进展,为推广腹腔镜技术奠定了基础。